- 水口インプラントセンター新宿
- 患者番号 = 2347 (2022-09-02 登録)

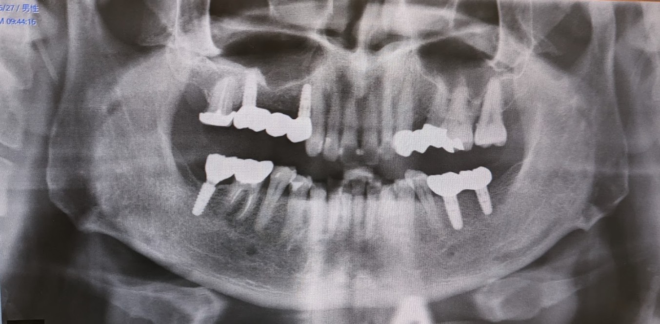
- 日程
- 2022-09-02 無料相談
- 2022-10-4 手術前検査
- 2022-10-25 オペ1 (右下奥歯、1本、通常手術)
- 2022-11-14 オペ2 (右上、3本ブリッジ、骨造成手術)
- 2023-01-25 頭出し1(右奥下)→ 合格
- 2023-02-15 頭出し2(右上)→ 合格
- 2023-03-07 型取り(右下、右上)
- 2023-03-31 右上、右下完成
- 2023-05-24 オペ3(左下)
- 2023-08-29 頭出し(右下2本)
- 2023-09-27 型取り(右下2本)
- 2023-10-30 左下2本 完成
- 2023-11-13 最終確認
- 費用
- 第一回(2022-09-29 支払い済)= 792,000 円
- 第二回(2023-05-18 支払い済)= 792,000 円
- 第三回(2023-10-30 支払い済)= 792,000 円
- 入手書類